Take a fresh look at your lifestyle.

Імплантація зубів: що це таке і як обрати надійну клініку

0 21

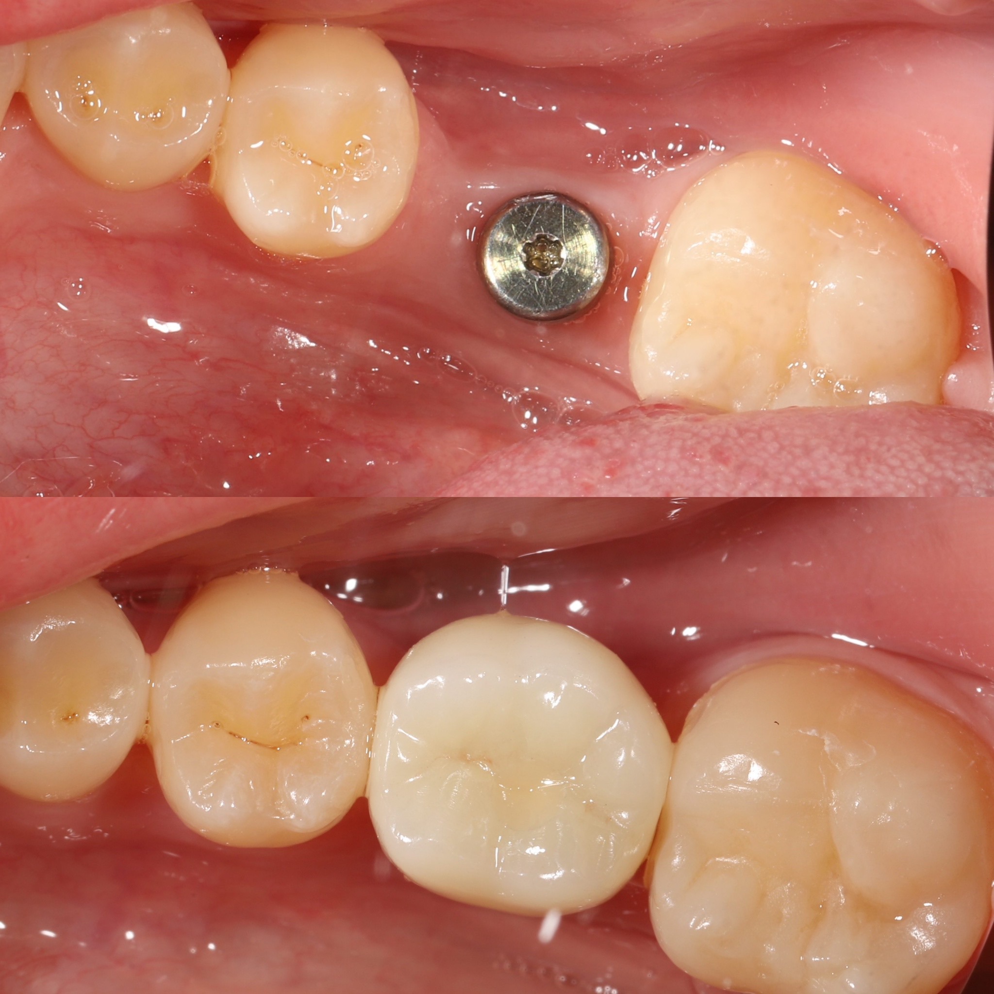
Імплантація зубів — це сучасний метод відновлення втрачених зубів, який дозволяє повернути природну естетику усмішки та повноцінну жувальну функцію. У Львові ця процедура особливо популярна завдяки високій якості медичних послуг та доступності сучасних технологій. На відміну від класичних протезів чи мостів, імплант встановлюється у кістку щелепи та замінює корінь зуба, забезпечуючи максимальний комфорт і довговічність.
Записатися на консультацію до лікаря-хірурга у Львові ви можете за посиланням megadental.lviv.ua/poslugy/hirurgichna-stomatologiya/implantacziya/. У цьому матеріалі розглянемо ключові моменти, які варто врахувати перед процедурою імплантації.


Що таке зубний імплант і як проходить імплантація

Зубний імплант складається з трьох частин:

  • Титановий стрижень — замінює корінь зуба та вживлюється у кістку.

  • Абатмент — з’єднувальний елемент між імплантом і коронкою.

  • Коронка — видима частина, що повторює форму й колір натурального зуба.

Процес імплантації у львівських клініках відбувається поетапно:

  1. Діагностика — огляд, рентген або 3D-томографія для оцінки стану кістки.

  2. Хірургічне встановлення імпланта — процедура під місцевою анестезією, триває близько години.

  3. Остеоінтеграція — період зрощення імпланта з кісткою, що триває 2–6 місяців.

  4. Установка абатмента та коронки — завершальний етап, після якого пацієнт отримує міцний і повноцінний зуб.


Переваги імплантації зубів

  • Довговічність — імпланти можуть служити 15–25 років і більше.

  • Комфортність — не знімаються та не створюють дискомфорту у повсякденному житті.

  • Естетика — виглядають максимально природно.

  • Запобігання атрофії кістки — імплант навантажує кістку так само, як натуральний корінь.

  • Збереження сусідніх зубів — не потрібно обточувати поруч розташовані зуби.


Як обрати клініку для імплантації у Львові

У місті працює багато стоматологічних центрів, проте вибір має бути виваженим. Зверніть увагу на:

1. Досвід імплантолога

Запитайте, скільки років лікар працює з імплантами, які системи використовує, чи проходив спеціальні навчальні курси.

2. Технічне оснащення клініки

Наявність 3D-томографа, сучасної стерилізаційної зони та хірургічного обладнання — важлива умова якісної імплантації.

3. Використовувані системи імплантів

У Львові найчастіше застосовують Straumann, Nobel Biocare, MegaGen, Osstem — це перевірені виробники з високим відсотком приживлення.

4. Прозорість вартості

Уточніть, що саме включено у ціну: імплант, коронка, діагностика, анестезія, додаткові процедури.

5. Відгуки та репутація

Оцініть реальні відгуки пацієнтів, фото робіт та рекомендації.

6. Гарантії

Надійні клініки у Львові надають гарантію на встановлений імплант та коронку.


Коли варто звернутися за імплантацією

Імплантація рекомендована у таких випадках:

  • відсутність одного або кількох зубів;

  • небажання або неможливість носити знімні протези;

  • травматичні ушкодження зубів;

  • необхідність повного відновлення функції щелепи.


Підсумок

Імплантація зубів у Львові — це інноваційний, надійний і довготривалий спосіб відновлення усмішки. Правильно підібрана клініка та досвідчений лікар гарантують комфортну процедуру й бездоганний результат. Якісно встановлений імплант дозволяє забути про проблеми із зубами на десятиліття, повертаючи впевненість, здоров’я і можливість жити без обмежень.

Залиште відповідь

Ваша електронна адреса не буде опублікований.